Our Services

Expert Orthodontic Care in Fort Mill, Lake Wylie, and Batesburg-Leesville, SC

Our experienced, knowledgeable team is eager to provide you with exceptional orthodontic services.

X-Raying Teeth

High-Quality Orthodontic Treatment

Committed to Beautiful Smiles

Riordan Orthodontics stands out for our commitment to personalized, high-quality orthodontic treatment in a warm and welcoming environment. We combine cutting-edge technology with a patient-first approach to ensure every smile is both healthy and confident. Whether you’re considering traditional braces, aligners, or specialized treatments, you can trust us to create a customized plan tailored to your unique needs. With a strong reputation for excellence and a focus on comfort and results, it’s easy to see why so many families choose Riordan Orthodontics for their orthodontic journey.

Aligners

Aligners, also known as clear braces, offer a comfortable and discreet way to straighten your teeth. Unlike traditional metal braces, aligners are nearly invisible and can be removed when eating or brushing, making daily hygiene easier to manage. They are custom-made to gradually shift teeth into the right position, often resulting in a shorter treatment time. Many people find them more comfortable because they don’t involve wires or brackets that can irritate the mouth. Overall, aligners are a convenient and effective option for improving your smile.
Teeth aligners

3D Xrays

3D X-rays, also known as CBCT (Cone Beam Computed Tomography), provide detailed images of the teeth, jaws, and surrounding structures. In orthodontic care, they help create precise treatment plans by showing the exact position of teeth and roots, improving accuracy and outcomes.
3D-X-Ray
Michael-Riordan-Orthodontics-3d-xray-1
Michael-Riordan-Orthodontics-3d-xray-2
Michael-Riordan-Orthodontics-3d-xray-3
Michael-Riordan-Orthodontics-3d-xray-4

3D Scanning and Printing

3D scanning and printing (teeth modeling) is a technique that allows us to create a highly accurate replica of a patient’s teeth and bite. Using scans, we can visualize current alignment, which helps us design custom treatment plans, including aligners or braces, with greater precision and predictability. This makes the process of straightening teeth and improving bite alignment more transparent and personalized.

Riordan-Michael-D-DMD_3D-scanning-and-printing003
Riordan-Michael-D-DMD_3D-scanning-and-printing002
Riordan-Michael-D-DMD_3D-scanning-and-printing007
Riordan-Michael-D-DMD_3D-scanning-and-printing006
Riordan-Michael-D-DMD_3D-scanning-and-printing005
Riordan-Michael-D-DMD_3D-scanning-and-printing004

Bite Problems

When a person’s teeth or jaw structure do not fit together properly, orthodontic treatment may be necessary to straighten teeth and promote ideal function. These problems, often referred to as malocclusions (or bad bites), can cause speech difficulty, premature wear of the teeth and protective enamel and even increase the chance of injury to teeth and jaw joints, if left untreated.
Teeth Crowding

Types of Bite Problems:

Overbite

In an overbite, the upper front teeth extend out over the lower front teeth excessively, sometimes causing the lower front teeth to bite into the roof of the mouth.

Underbite

An underbite occurs when the lower teeth protrude beyond the upper teeth, causing the lower jaw to extend forward. This can lead to difficulty chewing, speaking, and may cause jaw pain or uneven wear on the teeth over time.

Crossbite

In a crossbite, the upper teeth sit inside the lower teeth, which may cause tooth wear and misaligned jaw growth.

Crowding

Crowding occurs when teeth have insufficient room to erupt from the gum. Crowding can often be corrected by expansion, and may times, tooth removal can be avoided.

Midlines

Dental midlines that do not match are evident when the bite does not fit and match appropriately. This may negatively impact jaw and proper dental function.

Spacing

Spacing in teeth can lead to food getting trapped between gaps, increasing the risk of gum disease and tooth decay. It can also affect bite alignment and overall dental function, potentially causing discomfort or jaw problems over time or be simply cosmetic.

Open Bites

Proper chewing is impacted by an open bite, in which the upper and lower teeth do not overlap. Open bites may be caused by habits such as thumb sucking or tongue thrusting.

Protrusion

The appearance and function of your teeth are impacted by upper front teeth protrusion. It is characterized by the upper teeth extending too far forward or the lower teeth not extending far enough forward.

Overbite

Overbite Teeths

Underbite

Underbite Teeth

Crossbite

cross-bite Teeth

Crowding

Crowding Teeth

Midlines

Midline Teeth

Spacing

Spacing Teeth

Open Bites

Open Bite Teeth

Protrusion

Protrusion Teeth

TAD Intrusion

TADs are Temporary Anchorage Devices to intrude, or move teeth vertically into the bone. This is especially useful when certain teeth, like molars, have over-erupted (grown too far out of the gum), often due to missing opposing teeth. TADs are are tiny screws placed in the jawbone to serve as stable anchors. By attaching orthodontic forces (like rubber bands or springs) to the TAD, we can apply precise pressure to push a tooth back into its proper position, which is the “intrusion” part. TADs are a super helpful tool when regular braces or aligners can’t achieve vertical movement on their own!

Michael-Riordan-Orthodontics-TAD-intrusion

Types of Braces

Thanks to today’s technology, patients now have more options when it comes to wearing braces. While regular metal braces are still widely used, clear braces are becoming increasingly popular along with removable appliances that can be used for mild cases of misaligned teeth.
Michael-Riordan-Orthodontics-metal-braces

Types of Braces We Offer

Metal

Metal braces are the most commonly used orthodontic treatment due to their durability and effectiveness. Made from high-grade stainless steel, they work by using brackets and wires to gradually move teeth into the correct position. Modern metal braces are much smaller and less noticeable than in the past, and advancements in design have made them more comfortable and aesthetically pleasing for patients of all ages.

Clear

Clear (Ceramic) braces are a popular orthodontic option made from translucent or tooth-colored materials, making them much less noticeable than traditional metal braces. Their discreet appearance makes them especially appealing to adult patients who want a more subtle treatment option. While they function similarly to metal braces in straightening teeth, they offer a more aesthetic alternative for those concerned about the visibility of their braces during treatment.

Clear Aligners

Clear aligners are a modern orthodontic treatment that uses a series of custom-made, transparent trays—called aligners—to gently and gradually move teeth into their desired position. These aligners are designed using advanced computer simulation, ensuring a precise and personalized approach to tooth movement. Clear aligners are especially popular among adult patients due to their nearly invisible appearance and the convenience of being removable for eating, brushing, and flossing. While they are a great option for many, they are best suited for individuals with specific types of orthodontic bite issues. If you’re considering a more discreet way to straighten your teeth, ask us if you’re a candidate for clear aligner treatment.

Retainers

When we remove your braces, we will being the retention stage of your treatment. The retention phase lasts for a minimum of 24 months. Your final orthodontic result depends on your retainers, so follow through with the hard work you’ve put in so far. Remember to remove your retainer before brushing, and brush your retainer before placing it back in your mouth.
Retainer Treatment

Early Treatment

Though an orthodontist can enhance a smile at any age, there is an optimal time period to begin treatment. Beginning treatment at this time ensures the best result with the least amount of time and expense. The American Association of Orthodontists recommends that the initial orthodontic evaluation should occur at the first sign of orthodontic problems or no later than age 7. At this early age, orthodontic treatment may not be necessary, but vigilant examination can anticipate the most advantageous time to begin treatment.
early Orthodontic Treatment

Early Treatment FAQs

What are the benefits of early orthodontic evaluation?

Early evaluation provides both timely detection of problems and greater opportunity for more effective treatment. Prudent intervention guides growth and development, preventing serious problems later. When orthodontic intervention is not necessary, an orthodontist can carefully monitor growth and development and begin treatment when it is ideal.

Why is age 7 considered the optimal time for screening?

By the age of 7, the first adult molars erupt, establishing the back bite. During this time, an orthodontist can evaluate front-to-back and side-to-side tooth relationships. For example, the presence of erupting incisors can indicate possible overbite, openbite, crowding or gummy smiles. Timely screening increases the chances for a more esthetically pleasing smile.

What are the advantages of interceptive treatment?

  • Creating room for crowded, erupting teeth
  • Creating facial symmetry by influencing jaw growth
  • Reducing the risk of trauma to protruding front teeth
  • Preserving space for unerupted teeth
  • Reducing the need for tooth removal
  • Reducing treatment time with braces

Are you a candidate for orthodontic treatment?

Orthodontics is not merely for improving the aesthetics of the smile; orthodontic treatment improves bad bites (malocclusions). Malocclusions occur as a result of tooth or jaw misalignment. Malocclusions affect the way you smile, chew, clean your teeth or feel about your smile.

Why should malocclusions be treated?

According to studies by the American Association of Orthodontists, untreated malocclusions can result in a variety of problems. Crowded teeth are more difficult to properly brush and cleanse, which may contribute to tooth decay and/or gum disease. Protruding teeth are more susceptible to accidental chipping. Crossbites can result in unfavorable growth and uneven tooth wear. Openbites can result in tongue-thrusting habits and speech impediments. Ultimately, orthodontics does more than make a pretty smile – it creates a healthier you.

Adult Treatment

Braces aren’t just for kids anymore. Teeth alignment can be changed at any age if your gums and bone structure are healthy. We offer a variety of treatments that are designed for different age groups – including adults. A new smile can begin today.

Orthodontic treatment at later stages in life can dramatically improve your personal appearance and self-esteem. Improving the health of your teeth and gums is equally important. Crooked teeth and a bad bite can contribute to gum and bone loss, tooth decay, abnormal wear of the tooth enamel and surfaces, even headaches and sometimes jaw joint (TMJ/TMD) pain.

GOOD NEWS! The new techniques and appliances we use greatly reduce discomfort levels, decrease the frequency of visits, shorten treatment time and may allow you to choose from several options. Your options may include metal braces, translucent braces and even transparent aligners that can be worn at night to improve mild cases of misaligned teeth.

Aligner Braces
During the initial examination, we will be able to determine the best possible treatment for your individual needs. During this initial examination, we can outline the treatment plan, time of treatment expected and the approximate cost.

A large percentage of our patients are adults, and they agree that it’s never too late to improve their greatest asset – their smile.

Laser Gum Recontouring

Laser gum recontouring is a cosmetic dental procedure that reshapes the gum line using a precise laser. It’s often used to fix a “gummy smile” or create a more balanced, symmetrical look. The laser gently removes excess gum tissue with minimal discomfort, less bleeding, and faster healing compared to traditional methods. It’s a quick, effective way to enhance the appearance of your smile.

Michael-Riordan-Orthodontics-laser-gum-recontouring-BandA

Jaw Surgery - TMJ and Sleep Treatment

Jaw surgery (orthognathic surgery) corrects bite issues that braces alone can’t fix by repositioning the jaws for better function and facial balance. It can address TMJ (Temporomandibular Joint disorders), underbites, overbites, and breathing or speech issues. When surgery isn’t needed, splint therapy offers a non-surgical alternative using custom appliances to reduce jaw tension, protect joints, or improve sleep by keeping airways open. Both options are tailored to the patient’s needs for lasting comfort and results.
Jaw Surgery

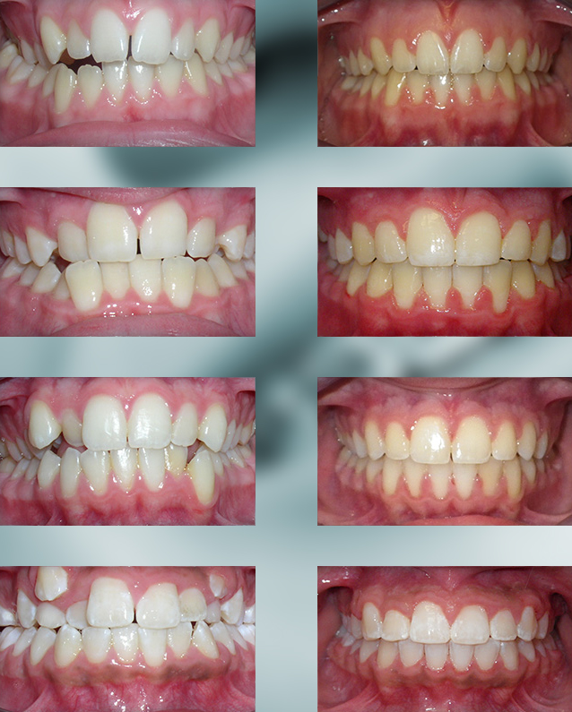
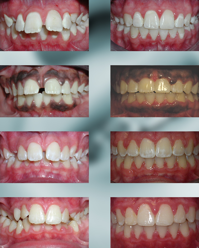
Before & After Photos

Before-and-after photos of orthodontic treatment provide a powerful visual representation of the transformation that occurs throughout the process. These images highlight improvements in tooth alignment, bite correction, and overall smile aesthetics.

Before (L) & After (R)

Michael-Riordan-Orthodontics-Before-After-1

Before (L) & After (R)

Michael-Riordan-Orthodontics-Before-After-2

Before (L) & After (R)

Michael-Riordan-Orthodontics-Before-After-3
Smiling With Braces

Visit the Orthodontic Experts

If you’re looking for a professional and reliable orthodontic care provider focused on delivering outstanding results for every patient, look no further than Riordan Orthodontics. We look forward to providing you with dental care that comes second to none!

Our Service Areas

Fort Mill, SC
Lake Wylie, SC
Batesburg-Leesville, SC

Fort Mill Office
MAIN OFFICE
1741 Gold Hill Rd, Suite 200
Fort Mill, SC 29708

HOURS:
Mon-Thurs 7:30am-5pm
803-802-2580
EMAIL US
OFFICE GALLERY
OFFICE DIRECTIONS

Lake Wylie Office
1300 Village Harbor Dr
Lake Wylie, SC 29710

HOURS:
Tues & Thurs 7:30am-5pm
803-802-2580
EMAIL US
OFFICE GALLERY
OFFICE DIRECTIONS

Batesburg-Leesville Office
527 E. Columbia Ave.
Leesville, SC 29070

HOURS:
By Appointment
803-802-2580
803-532-3500
EMAIL US
OFFICE GALLERY
OFFICE DIRECTIONS

orthodontic-teeth-icon-light-grn2
Each patient we treat is the most cherished person in this world to someone; we need to be ever mindful of this, and treat them as such.

VIEW OUR MISSION STATEMENT

Privacy Policy  |  Site Map
Copyright ©2025 Riordan Michael D DMD