Our Services
Expert Orthodontic Care in Fort Mill, Lake Wylie, and Batesburg-Leesville, SC
Our experienced, knowledgeable team is eager to provide you with exceptional orthodontic services.

High-Quality Orthodontic Treatment
Committed to Beautiful Smiles
Riordan Orthodontics stands out for our commitment to personalized, high-quality orthodontic treatment in a warm and welcoming environment. We combine cutting-edge technology with a patient-first approach to ensure every smile is both healthy and confident. Whether you’re considering traditional braces, aligners, or specialized treatments, you can trust us to create a customized plan tailored to your unique needs. With a strong reputation for excellence and a focus on comfort and results, it’s easy to see why so many families choose Riordan Orthodontics for their orthodontic journey.
Aligners

3D Xrays





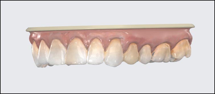
3D Scanning and Printing
3D scanning and printing (teeth modeling) is a technique that allows us to create a highly accurate replica of a patient’s teeth and bite. Using scans, we can visualize current alignment, which helps us design custom treatment plans, including aligners or braces, with greater precision and predictability. This makes the process of straightening teeth and improving bite alignment more transparent and personalized.






Bite Problems

Types of Bite Problems:
Overbite
Underbite
Crossbite
Crowding
Midlines
Spacing
Open Bites
Proper chewing is impacted by an open bite, in which the upper and lower teeth do not overlap. Open bites may be caused by habits such as thumb sucking or tongue thrusting.
Protrusion
Overbite

Underbite

Crossbite

Crowding

Midlines

Spacing

Open Bites

Protrusion

TAD Intrusion
TADs are Temporary Anchorage Devices to intrude, or move teeth vertically into the bone. This is especially useful when certain teeth, like molars, have over-erupted (grown too far out of the gum), often due to missing opposing teeth. TADs are are tiny screws placed in the jawbone to serve as stable anchors. By attaching orthodontic forces (like rubber bands or springs) to the TAD, we can apply precise pressure to push a tooth back into its proper position, which is the “intrusion” part. TADs are a super helpful tool when regular braces or aligners can’t achieve vertical movement on their own!

Types of Braces

Types of Braces We Offer
Metal
Clear
Clear Aligners
Retainers

Early Treatment

Early Treatment FAQs
What are the benefits of early orthodontic evaluation?
Why is age 7 considered the optimal time for screening?
What are the advantages of interceptive treatment?
- Creating room for crowded, erupting teeth
- Creating facial symmetry by influencing jaw growth
- Reducing the risk of trauma to protruding front teeth
- Preserving space for unerupted teeth
- Reducing the need for tooth removal
- Reducing treatment time with braces
Are you a candidate for orthodontic treatment?
Why should malocclusions be treated?
Adult Treatment
Orthodontic treatment at later stages in life can dramatically improve your personal appearance and self-esteem. Improving the health of your teeth and gums is equally important. Crooked teeth and a bad bite can contribute to gum and bone loss, tooth decay, abnormal wear of the tooth enamel and surfaces, even headaches and sometimes jaw joint (TMJ/TMD) pain.
GOOD NEWS! The new techniques and appliances we use greatly reduce discomfort levels, decrease the frequency of visits, shorten treatment time and may allow you to choose from several options. Your options may include metal braces, translucent braces and even transparent aligners that can be worn at night to improve mild cases of misaligned teeth.

A large percentage of our patients are adults, and they agree that it’s never too late to improve their greatest asset – their smile.
Laser Gum Recontouring
Laser gum recontouring is a cosmetic dental procedure that reshapes the gum line using a precise laser. It’s often used to fix a “gummy smile” or create a more balanced, symmetrical look. The laser gently removes excess gum tissue with minimal discomfort, less bleeding, and faster healing compared to traditional methods. It’s a quick, effective way to enhance the appearance of your smile.

Jaw Surgery - TMJ and Sleep Treatment

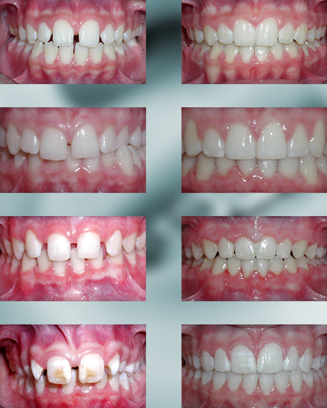
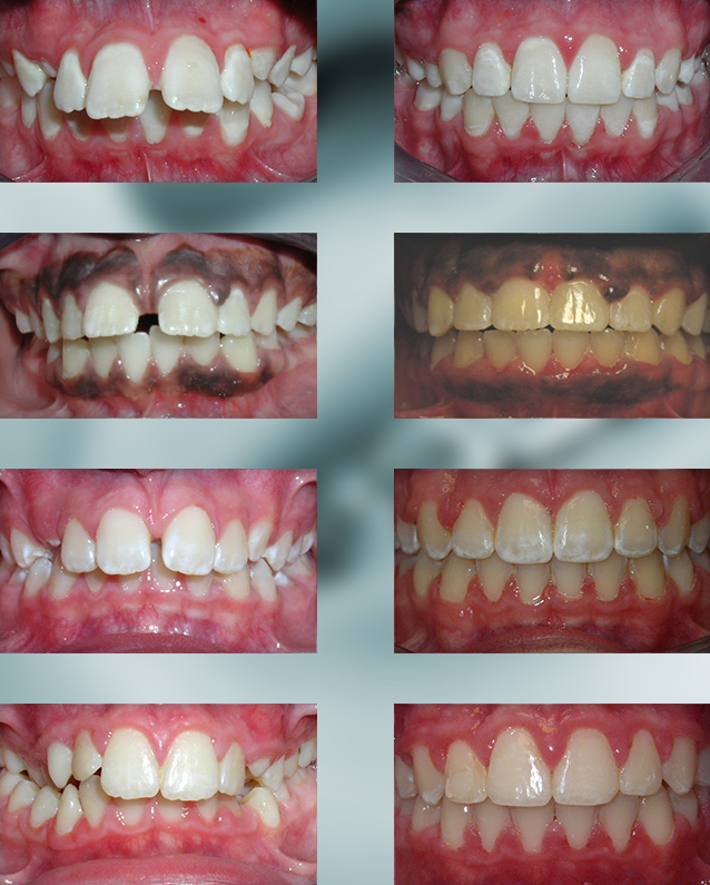
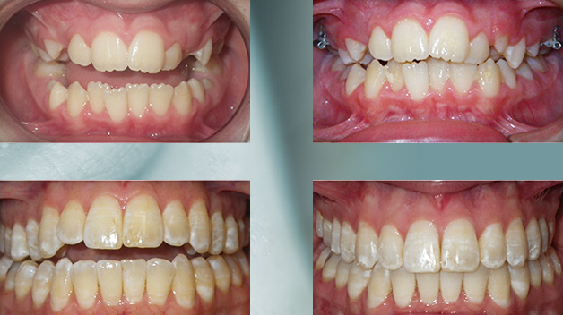
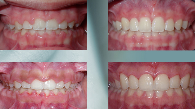
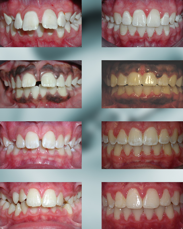
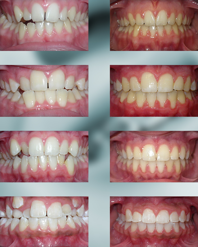
Before & After Photos
Before (L) & After (R)

Before (L) & After (R)

Before (L) & After (R)


Visit the Orthodontic Experts
If you’re looking for a professional and reliable orthodontic care provider focused on delivering outstanding results for every patient, look no further than Riordan Orthodontics. We look forward to providing you with dental care that comes second to none!
Our Service Areas
Fort Mill, SC
Lake Wylie, SC
Batesburg-Leesville, SC
Fort Mill Office
MAIN OFFICE
1741 Gold Hill Rd, Suite 200
Fort Mill, SC 29708
HOURS:
Mon-Thurs 7:30am-5pm
803-802-2580
EMAIL US
OFFICE GALLERY
OFFICE DIRECTIONS
1300 Village Harbor Dr
Lake Wylie, SC 29710
HOURS:
Tues & Thurs 7:30am-5pm
803-802-2580
EMAIL US
OFFICE GALLERY
OFFICE DIRECTIONS
Batesburg-Leesville Office
527 E. Columbia Ave.
Leesville, SC 29070
HOURS:
By Appointment
803-802-2580
803-532-3500
EMAIL US
OFFICE GALLERY
OFFICE DIRECTIONS
Privacy Policy | Site Map
Copyright ©2025 Riordan Michael D DMD